大肠篇
盲肠阑尾解剖结构图


盲肠是大肠的最近端部分,左侧与回肠相连,上续升结肠,长约6cm。回肠末端向盲肠的开口,称为回盲口,此处的肠壁内的环形肌增厚,并覆盖黏膜,形成上下两瓣皱襞,为回盲瓣。阑尾开口于盲肠下端(阑尾口)向外延伸一条细长的蚯蚓状器官,长约5-7cm,直径0.5-1cm。
盲肠组织结构图

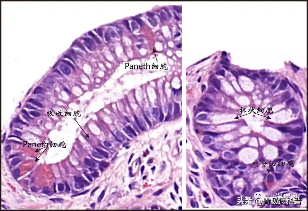
盲肠黏膜被覆上皮由柱状吸收细胞及杯状细胞构成。盲肠黏膜与黏膜下层常含有淋巴滤泡,黏膜延伸入固有层形成Lieberkühn隐窝,位于黏膜肌层下方的隐窝底部具有嗜酸性颗粒的潘氏细胞。

阑尾组织结构图

阑尾被覆有大肠黏膜,黏膜上皮由柱状细胞及杯状细胞组成,它们延伸入Lieberkühn隐窝,黏膜下层含有淋巴滤泡。肌层由内环形平滑肌层以及外纵行平滑肌层组成,最外层为浆膜。

阑尾组织结构放大图

阑尾黏膜上皮由柱状细胞以及杯状细胞组成,它们延伸入Lieberkühn隐窝,此处杯状细胞数量较多。黏膜固有层含有大量Lieberkühn隐窝大量的嗜酸性粒细胞。黏膜肌层下方为黏膜下层。内环肌和外纵肌之间有肌间自主神经丛,浆膜有血管、神经及间皮覆盖。

结肠分段结构图

结肠是胃肠道的末段,下端移行为直肠,全长约1-1.5米。结肠特有的结肠带和结肠袋的结构。

结肠可以分为升结肠、横结肠、降结肠、乙状结肠4部分。
升结肠长约15cm,起自盲肠,于结肠肝曲(右曲)移行至横结肠,无系膜。
横结肠长约50cm,起自结肠右曲,在结肠脾曲(左曲)移行为降结肠,有肠系膜。
降结肠长约25cm,起自结肠左曲,下移行为乙状结肠,无系膜。
乙状结肠长约40cm,在左髂处起自降结肠,转入盆腔内,全长呈“乙”字,下移行为直肠,有系膜。

结肠结构图

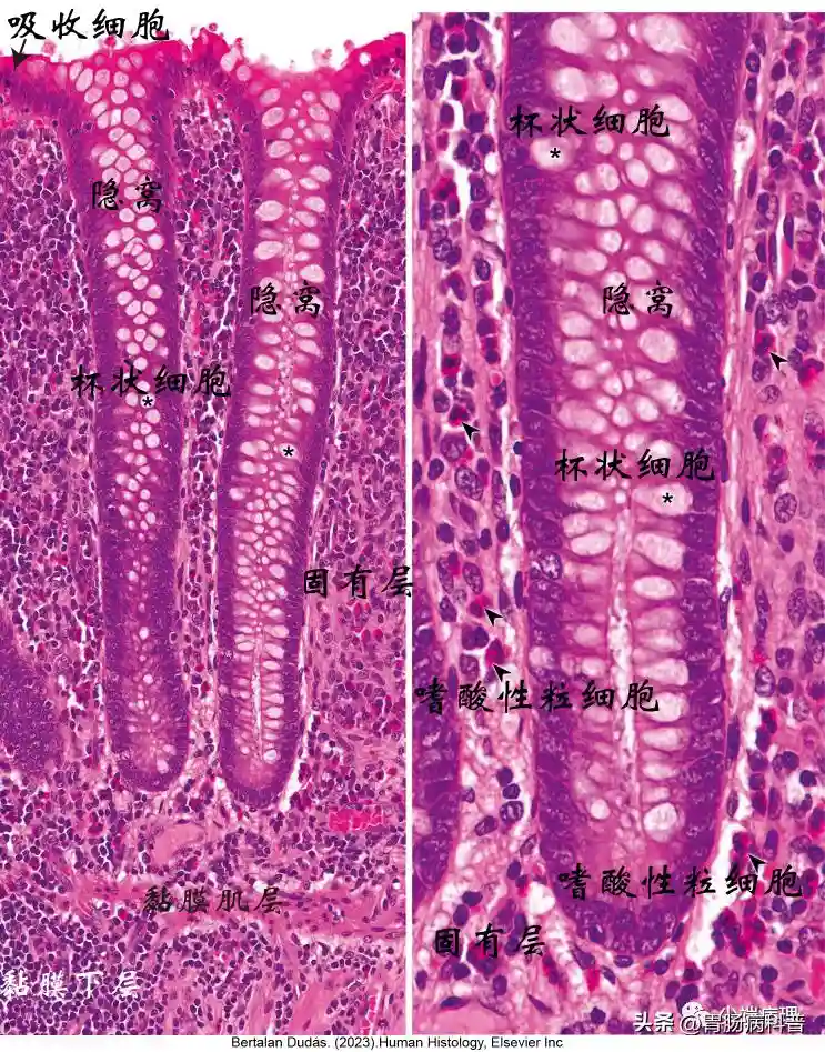
结肠分为:黏膜层、黏膜下层、肌层和浆膜。其中黏膜上皮由柱状上皮被覆,柱状上皮内衬于隐窝内,这些隐窝深达黏膜固有层垂直于黏膜肌层,呈“试管架样”外观。表面上皮由结肠细胞(吸收细胞、M细胞)和杯状细胞等组成。
右半结肠的结肠细胞/杯状细胞数约为5:1,该比值在左半结肠为3-4:1。Paneth细胞在右半结肠隐窝底部可见,远端1/3横结肠后出现,则提示出现慢性黏膜损伤的化生。而且右半结肠的上皮内淋巴细胞密度高于左半结肠。
大肠细胞分类图

结肠黏膜更新频率很高,其隐窝底部间质内含有干细胞,干细胞可以分化成熟迁移,形成吸收细胞,杯状细胞,内分泌细胞,Paneth细胞,膜(M)细胞。

横结肠组织图

横结肠的环状皱襞的横切面含有一个黏膜下层轴心。结肠黏膜层被覆有含杯状细胞的微绒毛单层柱状上皮。肌层由内环形平滑肌以及外纵行平滑肌构成,这两层间具有自主神经丛(Auerbach神经丛)。

上皮延伸入Lieberkühn隐窝,这些隐窝深达黏膜固有层垂直于黏膜肌层,呈“试管架样”外观。隐窝内含有大量杯状细胞,黏膜固有层含有淋巴滤泡。
乙状结肠组织图

乙状结肠的黏膜被覆微绒毛单层柱状上皮,上皮含杯状细胞。表面上皮深入Lieberkühn隐窝,固有层含有孤立淋巴滤泡。肌层由内环形平滑肌层以及外纵形平滑肌层构成。外层被浆膜覆盖。

直肠和肛管结构示意图

直肠是消化道位于盆腔的一段肠管,起自乙状结肠,下移行至肛管,长10-14cm。
直肠内有三个直肠横襞,上(距离肛门11cm),中(7cm),下(5cm)。在判别乙状结肠镜检查肿瘤时,常以中横襞确定位置。
肛管长约4cm,周围被肛门外括约肌包绕,可控制排便。
肛管内有6-10条肛柱,各肛柱下端通过半月形环形皱襞相连,称为肛瓣。
肛柱上端的连线称肛直肠线,下端肛瓣的连线为齿状线。齿状线为肛管移行区与鳞状上皮区的交界,齿状线以上为单层柱状上皮,以下为皮肤,由鳞状上皮组成。
肛管分为结直肠区,肛管移行区,鳞状上皮区。

肛管组织图

肛管分为近端的结直肠区,肛管移行区,皮肤(鳞状上皮)区。结直肠区被覆柱状上皮。肛门直肠线是结直肠区和肛管移行区交界,从柱状上皮突变为复层立方上皮,然后转变为复层非角化或角化不全鳞状上皮,排列于肛门移行区。

皮肤区和移行区以齿状线为界限。肛门移行区含有内痔静脉丛的静脉。纵行平滑肌层穿透并包绕肛门内括约肌。
肛管各区组织图


复层非角化或角化不全鳞状上皮(角质层留有个别细胞核),排列于肛门移行区。皮肤区被覆角化复层鳞状上皮。
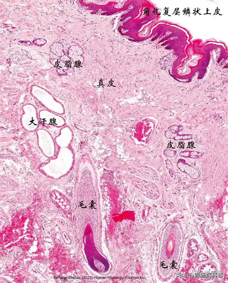
肛管皮肤区组织结构图


肛管的皮肤区被覆角化复层鳞状上皮,其下为不规则致密结缔组织真皮,并含有与毛囊、皮脂腺,还有大量的管腔扩张的大汗腺(肛周腺)。
主要参考文献
1.BertalanDudás,(2023).
2.Mills,(2017).HistologyofPathologists(4thedition),WoltersKluwerHealth
3.李增山。(2020)。临床病理诊断与鉴别诊断-消化道疾病,人民卫生出版社
4.李继承,曾园山。(2018)。组织学与胚胎学(第九版),人民卫生出版社
5.柏树令。(2010)。系统解剖学(第二版8年制),人民卫生出版社



.jpeg)

